Чтение онлайн

на главную - закладки

Жанры

Всемирный разум
Шрифт:

Однако это еще не все. Моя личная жизнь оставляла желать лучшего: она включала в себя немало несостоявшихся свиданий, а также романтические отношения, один раз длившиеся две недели, а второй – шесть месяцев. Мне было уже под 40, и я никогда не любил.

Одна из моих знакомых как-то рассказала, что в Винной долине [50] к северу от Сан-Франциско должен состояться недельный семинар, посвященный любви, сексуальности и интимным отношениям. По ее словам, там можно было бы многому научиться.

Я поинтересовался, что именно там будет.

Она ответила не слишком уклончиво, но так, что я был заинтригован: «Словами это не очень опишешь». Однако я насторожился. Харе Кришна, харе Кришна? Или сайентология?

Через несколько дней я упомянул об этом разговоре, беседуя с Джо Кирком (Joe Quirk). Он, как и я, тоже писал на научные темы. Выросли мы в одном городе, но встретились лишь спустя годы – когда оба поселились в Сан-Франциско. Джо как раз трудился над книгой под названием «Сперма исходит от мужчин, яйцеклетки пребывают у женщин». Мы читали рукописи друг друга, вместе ходили на вечеринки и толковали о философии на веранде,

смотрящей во двор. Мы сдружились, Джо и я.

«А, знаю, – ответил он. – Я был на этом семинаре».

«Правда?» – спросил я.

Я думал, он скажет что-то вроде: «У них там свой культ» или «Не трать время». Однако вместо этого услышал: «Я никому не говорил, что не стоит туда идти».

Переваривая эту фразу, я решил уточнить: «То есть мне не ходить?»

«Я не говорил, что ты не должен идти. Ты сам должен разобраться в этом. А затем тебе придется решить, что ты идешь».

Против обыкновения, Джо говорил загадками. «Да что там происходит?» – снова спросил я.

«Ничего я тебе не скажу. Сам все поймешь».

Странное дело! Однако я верил, что Джо предупредил бы меня, если бы там творилось что-то сомнительное. Поэтому я записался на семинар.

Что можно сделать с помощью нанопроводников?

Общение людей подошло к той черте, за которой оно будет полностью пересмотрено. Скоро мы сможем извлекать заметно больше пользы от применения той технологии, благодаря которой миллионы сообщений будут отправляться и приниматься одновременно и без единой ошибки. Интерфейсом при взаимодействии с машинами будет служить обмен мыслительными сигналами. Мы станем узлами единой сверхсети, общаясь с окружающими посредством передачи мыслей. Та речь, которую мы знаем сегодня, может выйти из употребления.

Профессор Кевин Уорвик, проект «Киборг I», 2004 г.

Правда, Уорвик [51] (Kevin Warwick) не предлагает никакого правдоподобного механизма для «обмена мыслительными сигналами» в качестве интерфейса для взаимодействия с машинами. Конечно, он совершенно прав в том, что информацию головному мозгу можно передавать электронным образом. Именно это и делают мои кохлеарные импланты. Я знаю, как это – слышать звуки своими собственными ушами, и я понимаю отличия в восприятии их посредством встроенных «электронных ушей». Теперь, когда я привык к последним, могу заявить: они дают мне практически те же ощущения, что и обычные органы слуха. По своему устройству и принципам работы системы друг от друга отличаются, но конечные результаты их действия очень похожи: в слуховой зоне коры мозга возбуждаются определенные группы нейронов, а в сознании возникает чувство понимания. Электронное слышание остается слышанием именно потому, что ничем иным оно быть не может.

Однако Уорвик имеет в виду отнюдь не ту информацию, которую дают нам органы чувств. Он говорит о коммуникации, а это совершенно другое дело. Для общения требуется куда больше входящей и исходящей информации, чем поступает в мозг через кохлеарный имплант. Кроме того, интерпретироваться данные должны на более высоком уровне ментальной деятельности. И кто в мире на это способен?

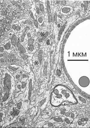
Я должен во всем этом разобраться. Мне показалась интересной одна идея, которую выдвинул Родольфо Линас, нейробиолог из университета Нью-Йорка [52] . От нее просто волосы дыбом встают. Линас предложил инженерам сделать из тысяч проводов такой тонкий кабель, чтобы его можно было ввести в бедренную артерию в районе паховой области, а затем по кровяному руслу провести к головному мозгу – как при ангиографии. Достигнув последнего, провода кабеля должны распределиться таким образом, чтобы их концы попали в капилляры. В итоге каждый провод сможет снимать возбуждение соответствующего нейрона, а также изменять оное, передавая ему электрические импульсы.

Возможно, вы не поверите, что в капиллярах имеется достаточно места, однако оно есть. На иллюстрации видно, что диаметр каждого проводка – менее одного микрона (миллионной доли метра), то есть существенно меньше, чем просвет самого капилляра. Сотрудники лаборатории, которой руководит Линас, показали, что, в принципе, сделать все можно. Они вводили платиновые нанопровода в капилляры выбранных в качестве лабораторных образцов тканей и регистрировали возбуждение прилежащих нейронов [53] . Заряд быстро распределялся, и теперь исследователи надеются получить такие провода, которые могли бы проводить электроток нужной силы [54] .

Фактически, эта технология уже существует. Медики могут вводить длинную тонкую трубку через бедренную артерию, направляя ее затем в головной мозг – чтобы сделать инъекцию антиракового препарата прямо в область опухоли. Мы говорим о микрокатетерах, диаметр которых значительно превышает толщину нанопроводов, составляя от 0,5 до 1 миллиметра [55] . Однако ученые доказывают, что применение нанопроводников должно позволить проникнуть в мозг еще глубже. В статье, описывающей использование микрокатетеров, газета New York Times приводит высказывание одного из медиков: «В техническом отношении нет препятствий к тому, чтобы достигнуть любой части мозга» [56] .

Конечно, любому из нас ясно, что введение в живой мозг множества нанопроводов чревато проблемами. Каким образом провести тысячи нанопроводников через все изгибы и сплетения капилляров? (Последние – так же искривлены и перекручены, как ветви баобаба). Как подвести каждый из нанопроводов к заданному месту? Что будет, если они перепутаются? Как предотвратить короткое замыкание при

их возможном контакте? Как быть с тромбами в кровеносных сосудах? А вдруг проводок пройдет сквозь капиллярную стенку? Каким мыслится электропитание? Как я уже отметил, это очень смелая идея.

В сущности, все возражения подобного рода уже высказывались в 1970-х годах – в связи с кохлеарными имплантами. Критики доказывали: нет никакой возможности ввести электроды в узкую кохлеарную область – улитку внутреннего уха, «утопленную» в черепе на глубину полтора дюйма и размер которой не превышает горошины. Даже если нечто подобное и удастся, говорили они, то во влажной и соленой среде тела весьма вероятно короткое замыкание между электродами. А если получится преодолеть и эту проблему, настаивали противники имплантации, все равно нельзя будет компенсировать недостаток информации, который неизбежно проявится из-за потери 16 000 волосковых сенсорных клеток ( hair cells), прежде передававших сигналы слуховым нервам. И потом: как, мол, будет функционировать электричество в устройстве, целиком расположенном внутри человеческого тела? А как добиться того, чтобы компьютер, размещенный внутри черепной коробки и связанный с электродами, имел необходимую производительность? (В ранних экспериментах для переведения звуковых сигналов в цифровую форму и передачи их на антенну импланта, разработчики использовали компьютеры размером с холодильный шкаф. Подопытные могли что-то слышать только сидя рядом с ними – да и то если были соединены с машиной специальным кабелем). Но несмотря ни на что все эти проблемы были решены в течение двух десятков лет. Сейчас, печатая этот тест, я слышу щелканье клавиатуры, тихое гудение кондиционера и легкие шорохи подушки за моей спиной.

Экстраполируя опыт создания кохлеарных имплантов, можно надеяться, что все препятствия на пути внедрения в жизнь устройств с нанопроводами будут преодолены. Вы только представьте: в головном мозге как будто начнет распускаться удивительный цветок – вытягиваясь на своем стебле и распространяясь все дальше. Это создание проникнет в каждый капилляр, в каждый кубический миллиметр мозга – и ежесекундно будет собирать терабайты данных. И столько же и с той же частотой станет посылать мозгу. Это будет самый интимный из всех когда-либо изобретавшихся людьми интерфейсов. Если теперь вы соедините два мозга, оснащенных подобными наноустройствами, то в буквальном смысле объедините их. Это будет точное подобие corpus callosum – мозолистого тела, соединяющего левое и правое полушария одного мозга (хотя, вероятно, связь будет осуществляться не по проводам, а посредством радиоволн). Если же после этого еще и связать людей с помощью Интернета, то возникнет сеть, каждый узел в которой будет человеческим мозгом. Всемирная Паутина , World Wide Web, превратится в Сеть Всемирного Разума , World Wide Mind.

Однако риски действительно очень существенны. Прежде всего, использование электричества имеет фундаментальные ограничения. Но дело не только в этом. В каждом миллиметре мягких тканей мозга имеются тысячи нейронов – и каждый, обладая своей специализацией, настроен на решение лишь определенной задачи. Поэтому возбуждая не один, а несколько нейронов в пучке, электрический разряд вызовет побочные эффекты. В главе 8 я затрону вопрос о новых технологиях, которые должны действовать более селективно и бережно. Наиболее интересная из них способна использовать генетически измененные нейроны, контролировать активность которых будут светодиоды, размещенные в пространстве между черепной коробкой и головным мозгом. Такая технология предназначена для того, чтобы воспринимать возбуждение нейронов и контролировать их, совершенно не нуждаясь в проводах.

Загадочный семинар

Однажды в ясный и свежий зимний день 2005 года я направил свой поскрипывающий «Форд» на север и, миновав Золотые Ворота, вскоре оказался в Винной долине. Задолго до того, как поселиться в Калифорнии, я видел фотографии этого места в рекламном проспекте виноделов и думал, что при съемке применялись светофильтры – дабы все выглядело прекраснее, чем есть на самом деле. Я ошибался. Эти места и в самом деле очаровательны. Солнечный свет заливал лежавшие вдоль дороги холмы. Я ехал мимо, и они казались мне мягкими спящими котятами. Посыпанные гравием и обсаженные деревьями дорожки разбегались от шоссе и вели к домам, которые, поблескивая мрамором, скрывались за соснами. Галилей как-то восторженно сказал, что вино – это свет, который вобрала в себя влага. Винная долина, скажу я, это безмятежность, воплотившаяся в окружающем мире.

Я быстро миновал Саусалито, округ Сонома, Напу. Повернул направо, затем налево – в сторону Сильверадо. Осталась позади Калистога, скрывшись за неясными очертаниями приземистых виноградников. Сгустились сумерки, и вскоре наступила ночь. После Калистоги шоссе устремилось вверх, поднимаясь примерно на 1800 футов, а езда стала напоминать американские горки с их подъемами и спусками – только дорога была настоящей. Вцепившись в руль так, что у меня побелели костяшки пальцев, я выписывал в пространстве кривые и всматривался вдаль, насколько мог. Наконец дорога пошла вниз, и я очутился в местечке Миддлтон, штат Калифорния. Магазины, склады с винилом на стенах, дома фермеров.

Я повернул налево, затем направо, а потом потерялся в темноте – непроглядной, как смола. Попробовал двинуться в одном направлении, сменил его и почувствовал: еще немного – и я дойду до белого каления. Но в конце концов шины моего автомобиля захрустели по гравию, и я оказался прямо перед большим деревенским домом. Я вытащил из машины спальный мешок и набитый одеждой чемодан, которые свалил на пол перед самой дверью. Рядом с ней выстроилась дюжина, а то и больше пар обуви. Поэтому я разулся и добавил к этой шеренге свои туфли, поставив их с краю. На меня как будто смотрело множество насмешливых глаз, вопрошавших: «Ты – и здесь?»

Поделиться:
Популярные книги

Наследник из прошлого

Чайка Дмитрий
16. Третий Рим
Фантастика:
попаданцы
альтернативная история
5.00
рейтинг книги
Наследник из прошлого

Последний из рода Демидовых

Ветров Борис
Фантастика:
детективная фантастика
попаданцы
аниме
5.00
рейтинг книги
Последний из рода Демидовых

Чехов. Книга 3

Гоблин (MeXXanik)
3. Адвокат Чехов
Фантастика:
альтернативная история
5.00
рейтинг книги
Чехов. Книга 3

Изменяющий-Механик. Компиляция. Книги 1-18

Усманов Хайдарали
Собрание сочинений
Фантастика:
боевая фантастика
космическая фантастика
5.00
рейтинг книги
Изменяющий-Механик. Компиляция. Книги 1-18

Тот самый сантехник. Трилогия

Мазур Степан Александрович
Тот самый сантехник
Приключения:
прочие приключения
5.00
рейтинг книги
Тот самый сантехник. Трилогия

Герцог и я

Куин Джулия
1. Бриджертоны
Любовные романы:
исторические любовные романы
8.92
рейтинг книги
Герцог и я

Истребители. Трилогия

Поселягин Владимир Геннадьевич
Фантастика:
альтернативная история
7.30
рейтинг книги
Истребители. Трилогия

Законы Рода. Том 14

Андрей Мельник
14. Граф Берестьев
Фантастика:
аниме
фэнтези
эпическая фантастика
5.00
рейтинг книги
Законы Рода. Том 14

Крепость над бездной

Лисина Александра
4. Гибрид
Фантастика:
боевая фантастика
попаданцы
аниме
фэнтези
5.00
рейтинг книги
Крепость над бездной

Мастер 2

Чащин Валерий
2. Мастер
Фантастика:
фэнтези
городское фэнтези
попаданцы
технофэнтези
4.50
рейтинг книги
Мастер 2

Тринадцатый VIII

NikL
8. Видящий смерть
Фантастика:
фэнтези
попаданцы
аниме
5.00
рейтинг книги
Тринадцатый VIII

Город Богов 3

Парсиев Дмитрий
3. Профсоюз водителей грузовых драконов
Фантастика:
юмористическое фэнтези
городское фэнтези
попаданцы
5.00
рейтинг книги
Город Богов 3

Антимаг

Гедеон Александр и Евгения
1. Антимаг
Фантастика:
фэнтези
6.95
рейтинг книги
Антимаг

Великий род

Сай Ярослав
3. Медорфенов
Фантастика:
юмористическое фэнтези
попаданцы
аниме
5.00
рейтинг книги
Великий род